Unusual Case of Persistent Hip and Leg Pain
Case Details
Relevant Clinical History
A 79-year-old female was referred by her general practitioner for consideration of total hip replacement due to severe bilateral hip and leg pain, resulting in an inability to sit comfortably, sleep adequately, or perform activities of daily living.
Clinical Examination
The patient exhibited a bilateral Trendelenburg gait and was unable to sit comfortably.
Hip examination was unremarkable, with preserved range of motion and no local tenderness or deformity.
Straight leg raise was positive bilaterally, indicating tension of the sciatic nerve roots.
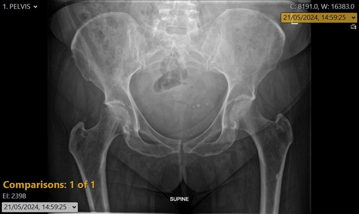
Investigations

Self-Test Questions
What conditions would you include in your differential diagnosis?
Suggested Answer & Explanation:
- Hip osteoarthritis – degenerative joint disease causing activity-related pain and stiffness.
- Inflammatory arthropathy – e.g. rheumatoid arthritis, ankylosing spondylitis, or PMR involving the hips.
- Lumbar spinal pathology – spinal stenosis or nerve root compression causing referred leg pain.
- Pelvic or acetabular tumour – primary or metastatic lesion mimicking hip pain.
- Stress fracture – insufficiency fracture of the pelvis or proximal femur, especially in elderly or osteoporotic patients.
What would your management plan be?
Suggested Answer & Explanation:
- Pelvic MRI scan – to assess for occult fractures, avascular necrosis, or soft tissue pathology
- Lumbar spine MRI scan – to evaluate for nerve root compression or spinal stenosis causing referred pain
- Nuclear medicine bone scan – to identify areas of increased bone activity (e.g. stress fracture, metastasis, infection)
- Rheumatological blood tests – to screen for inflammatory or systemic causes of pain (e.g. ESR, CRP, rheumatoid factor, ANA)
- CT scan of the pelvis – to delineate bony architecture and assess cortical or acetabular pathology in detail
Outcome and Case Discussion
An urgent MRI scan of the lumbar spine demonstrated a large pelvic mass arising from the adnexal region, causing compression of the lumbosacral plexus. This explained the patient’s severe bilateral hip and thigh pain, which clinically mimicked meralgia paraesthetica.
The patient was referred urgently to the gynaecology team, where further evaluation confirmed a low-grade ovarian tumour. The lesion was surgically excised, and the patient remains under ongoing gynaecological follow-up.
Summary of Learning Points
- Maintain vigilance when hip pain presents with a normal X-ray — the pathology may be extra-articular or systemic in origin.
- Keep a broad differential diagnosis and a low threshold for investigating atypical causes of hip and leg pain.
- Listen carefully to the patient’s history — subtle details often provide diagnostic clues.
- Do not underestimate disproportionate or persistent pain, as it may signal serious underlying pathology.
- Perform a comprehensive clinical examination, including assessment of the spine and adjacent joints.
- Always examine the joint above and below the site of reported pain to avoid diagnostic oversight.
- Consider advanced imaging (e.g. MRI of the pelvis and lumbar spine) when initial investigations are inconclusive.
- Adopt a multidisciplinary approach — refer appropriately (e.g. to gynaecology or other specialties) when non-orthopaedic causes are suspected.
References
Chamberlain R. Hip Pain in Adults: Evaluation and Differential Diagnosis. Am Fam Physician. 2021;103(2):81-9.
Abdulkareem I H, et al, Exploring Other Causes of Hip Pain Beyond Osteoarthritis in Adults: A Narrative Review and Case Series, Ann Med Clin Cas Rept, 2025; 1(2): 1-31.
Harney D, Patijn J. Meralgia Paresthetica: Diagnosis and Management Strategies. Pain Medicine. 2007;8(8):669-77.
Ahmed MS, Varrassi G, Hadjiconstanti D, Zis P. The Diagnosis and Management of Meralgia Paresthetica: A Narrative Review. Pain and Therapy. 2025;14(1):103-19.
Nouraei SA, Anand B, Spink G, O'Neill KS. A novel approach to the diagnosis and management of meralgia paresthetica. Neurosurgery. 2007;60(4):696-700.
75. Seror P, Seror R. Meralgia paresthetica: clinical and electrophysiological diagnosis in 120 cases. Muscle Nerve. 2006;33(5):650-4.


Many thanks for this excellent case
This is excellent. Thanks
It was very helpful